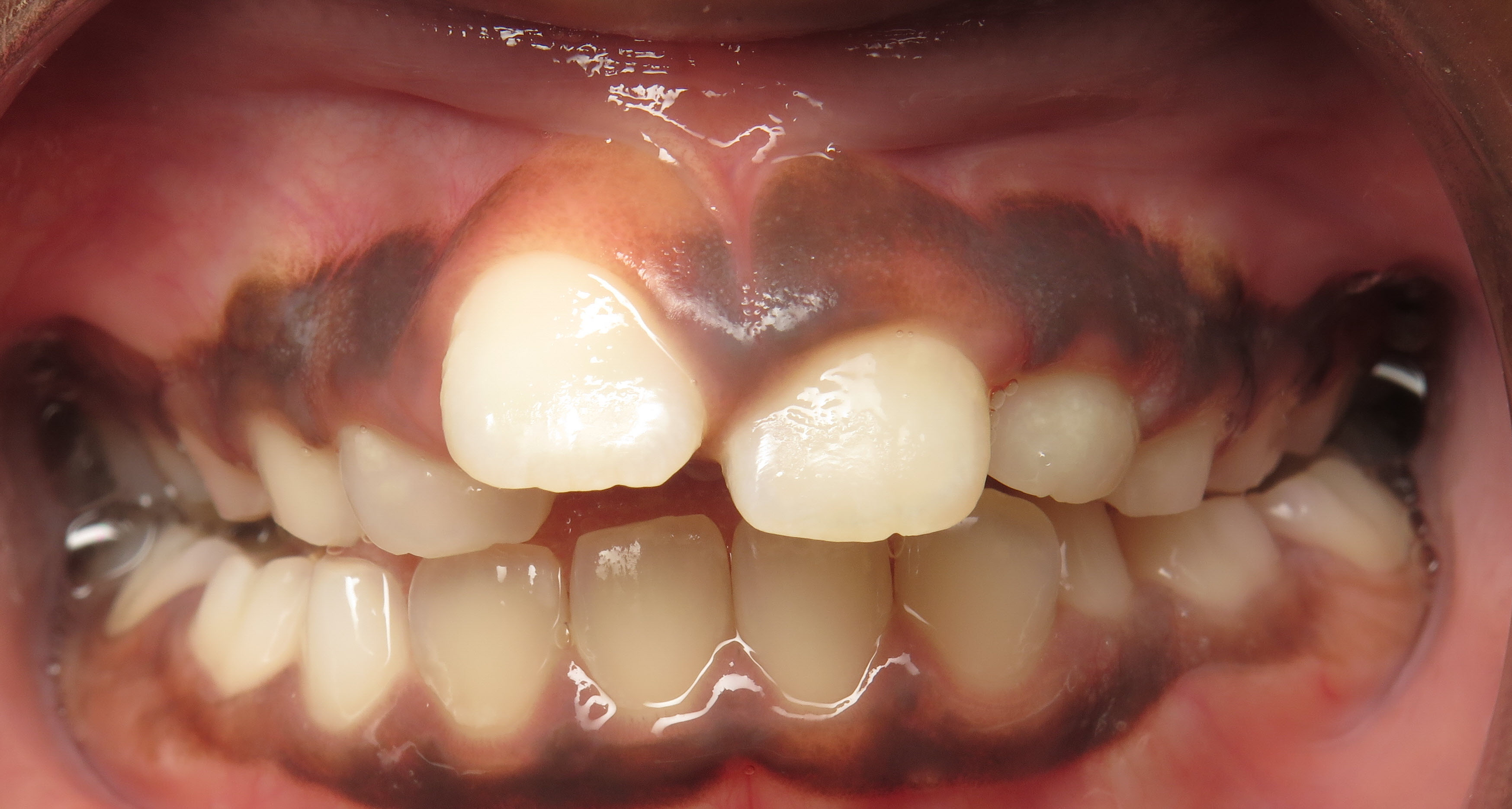
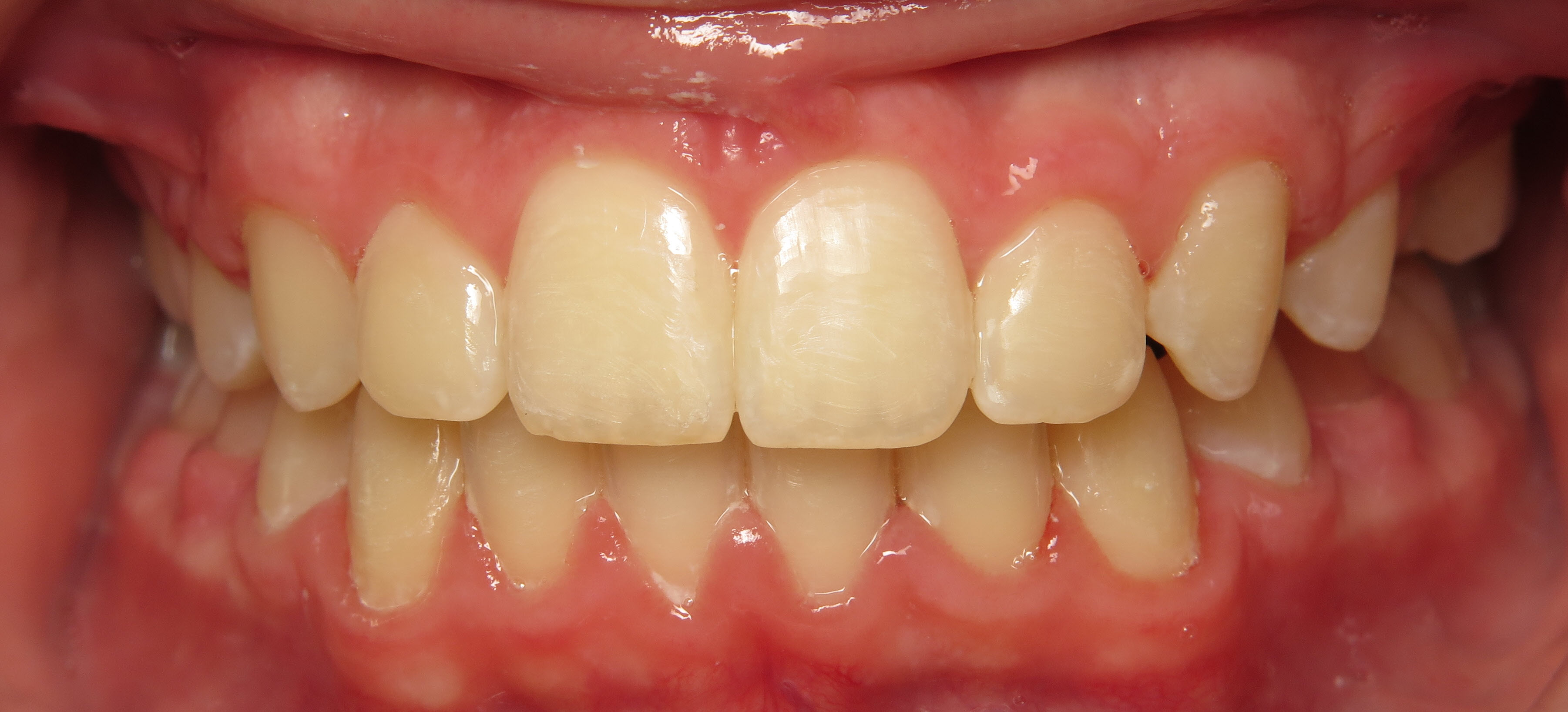
Welcome to the VV Orthodontics before and after smile gallery, where you can view the remarkable transformations achieved by Dr. Saritha Chary-Reddy, our orthodontist. Our patients have experienced life-changing results through our orthodontic care in San Antonio, Texas! If you are ready to start towards a more uniform smile, contact us today at 830-266-9555. Let us help you discover the radiant smile you deserve!







































